Board-Certified Care in Periodontics and Dental Implants
Making the right decision for your oral health, especially for specialized treatments, begins with clear attention from a certified expert.
CONTACT US TO SCHEDULE YOUR APPOINTMENT:
We understand the questions and concerns our patients have. Perhaps you’re asking yourself:
Finding the right answers begins with a specialist’s attention.
Instead of uncertainty, we provide clarity. Dr. Gonzalez will conduct a comprehensive evaluation to determine the exact nature of your issue. Based on this expert diagnosis, we will design a personalized treatment plan. Whether the solution is advanced periodontal therapy to save your natural teeth or state-of-the-art dental implants to restore your smile, you will receive a clear path to lasting health.
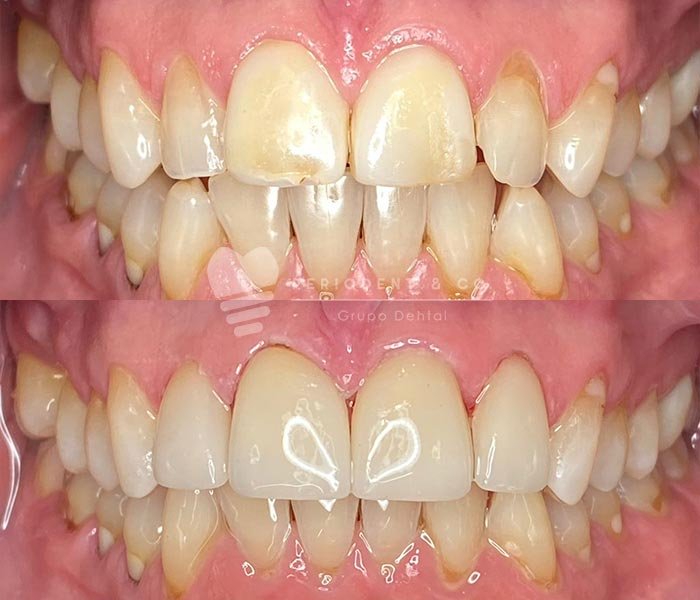
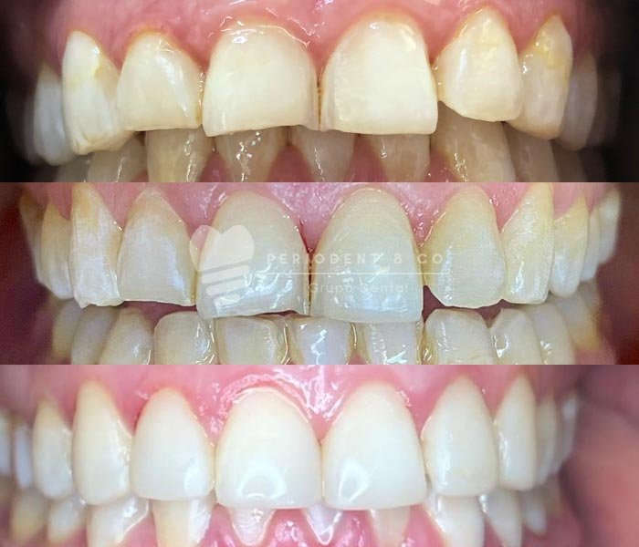
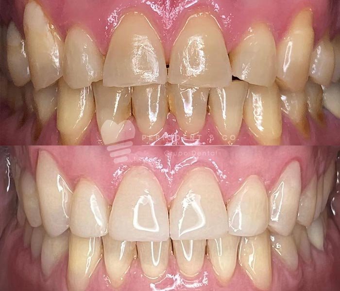
Scroll down to see the life-changing results of patients who trusted us with their care.
GET THE ANSWERS YOU NEED, BOOK AN APPOINTMENT
We believe that exceptional results require true specialization. For this reason, our clinic is comprised of a team of experts, each dedicated to a specific field of dentistry, from periodontics to aesthetic restorations.
As our core specialty, periodontics focuses on the health of your gums and the bone that supports your teeth. A healthy foundation is essential for a beautiful smile and your overall health. Dr. Gonzalez, a board-certified periodontist, provides expert diagnosis and personalized plans to control gum disease through non-surgical deep cleanings and can perform aesthetic procedures to correct issues like a “gummy smile”.
Endodontics, commonly known as root canal therapy, is a specialized procedure focused on treating the interior of the tooth to save it from extraction. When a tooth’s pulp becomes infected, our specialist performs this treatment with precision to relieve pain and preserve your natural tooth structure, allowing it to function for years to come.
Dental implants offer a secure and natural-looking solution for replacing missing teeth that can last a lifetime. Our team plans each case with precision to ensure the implant integrates perfectly with your jawbone. We manage the entire process, from a single implant to full arch restorations using advanced techniques like All-on-4, All-on-6, or All-on-8 to restore your complete smile.
Our cosmetic dentistry services are designed to improve the appearance of your smile while respecting its natural function. A specialist will work with you to recommend the best course of action, whether it’s a complete smile makeover with custom porcelain veneers to correct chips or gaps, or crafting crowns and bridges to restore damaged teeth.
Request your personalized evaluation.
Behind every result is a unique patient story. Each transformation is the outcome of a personalized plan, executed with the expert precision you can expect from our specialists.
This place is amazing! Open, bright, clean, friendly staff, talented doctors, and reasonable prices (especially when compared to the US!). I seriously could not recommend them higher- you will not be disappointed. Oh as a cool bonus you get a fast lane pass to breeze through the border on the way back to the US.
With over 10 years of experience , Dr. Alexandra Gonzalez has dedicated her career to the specialized field of periodontics, a discipline she is passionate about for its focus on the foundational health of every smile. Her approach is defined by a combination of meticulous, expert precision and a genuine, personal connection with each patient.
She believes that understanding your concerns is just as important as the clinical diagnosis, a philosophy that guides every personalized treatment plan she creates. Her commitment is to provide a level of care that not only restores oral health but also builds lasting confidence and trust.






Dental Surgeon | License No. 10839729
Specialist in Periodontics and Implants | License No. 7373854
Request a personalized treatment plan
Choosing a dental provider abroad is a significant decision. We have structured our practice to provide the security, quality, and personalized attention that our international patients expect and deserve. Here is what sets us apart:
Your care is led by Dr. Alexandra Gonzalez, a board-certified periodontist. This guarantees your treatment adheres to the highest standards of professional excellence and safety.
Our team is comprised of specialists for each area of dentistry. This collaborative approach ensures an expert with the most focused experience manages every phase of your care.
We believe effective care is personal. We take the time to listen to your concerns and goals to design a treatment plan that is tailored specifically to your unique needs.
We use only proven materials and modern technology for our procedures. This commitment to excellence ensures your treatment results in a durable, long-term solution.
We provide clear, detailed treatment plans and are always available to answer your questions. This commitment to transparency ensures you feel informed and confident at every step.
SCHEDULE YOUR CONSULTATION WITH CONFIDENCE
Ready to schedule your personal consultation with Dr. Gonzalez? Simply fill out the form below or contact us directly via phone or WhatsApp to get started. Our team is available to answer your questions and coordinate your appointment.
+52 (664) 104 0441
+52 (664) 485 6739
Av Guanajuato 2476, Col. Madero (Cacho), 22040 Tijuana, B.C.
Mon–Fri: 9:00 am–6:00 pm
Saturday: 9:00 am-2:00 pm





* Your information is confidential and will not be shared.
2025 All rights reserved Periodent & Co.
Dr. Alexandra is a highly qualified periodontal surgeon. Her practice has 4 rooms and she also has other dentists working with her. I was very impressed at the cleanliness of her practice and she also proudly displays all of her diplomas in plain sight. Anyone looking for professional work at reduced prices from the U.S. should give them a call.